前歯を1本失った場合
数本の歯を失った場合(ブリッジ)
Doctor’s Comment
歯を数本失われた場合は、歯がなくなった部分に必要数のインプラントを入れます。その上に歯の被せ物を入れることで、見た目が自然でしっかり噛めるようになります。
歯が全くない場合(義歯)
Doctor’s Comment
歯を全て失われた方にはインプラントをよくご利用いただいています。
インプラントを埋入し、その上に取り外し式の入れ歯を取り付けることで、しっかりと固定され、よく噛めるようになります。






歯を数本失われた場合は、歯がなくなった部分に必要数のインプラントを入れます。その上に歯の被せ物を入れることで、見た目が自然でしっかり噛めるようになります。



歯を全て失われた方にはインプラントをよくご利用いただいています。
インプラントを埋入し、その上に取り外し式の入れ歯を取り付けることで、しっかりと固定され、よく噛めるようになります。
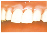
Doctor’s Comment
歯を1本だけ失った場合インプラントで修復することで、見た目も自然で審美的な効果が高いです。そのためどの歯がインプラントなのか区別がつきにくく、満足していただける患者様は多いです。また周りの歯が残っていることで顎骨が萎縮することがありません。さらにブリッジでは健康な歯を削る必要がありますが、インプラントでは周りの歯を削ったり負担をかけることはありません。